Wireless Antidepressant Adherence Biomarker from Sleep
Using a single night of respiration data, we develop an AI model trained using >60k nights of sleep data that can accurately (AUC 0.84) predict antidepressant use. 2025.
Paper
Using a single night of respiration data, we develop an AI model trained using >60k nights of sleep data that can accurately (AUC 0.84) predict antidepressant use. 2025.
Paper
We are training a multimodal foundation model based on coupled EEG and Electronic Health Record (EHR) data, to improve the accuracy of EEG-based disease diagnoses and open new potential applications for biomarkers.
In Progress
CNN-based Activity Recognition of Covid-19 Symptoms with Custom Wearable Sensor. 2020.
Paper Video
A Subdermal Battery-free Sensor that Detects Cardiac Arrest and Releases Life Saving Naloxone. 2020.
Paper
A Battery-less Modular Wireless Sensing and Communication Tag that Operates using Analog Backscatter. 2021.
Paper Video
Novel Semisupervised Pipeline for Acitivity Recogntion in Images and Video through Forcing Attention Map Consistency
Paper
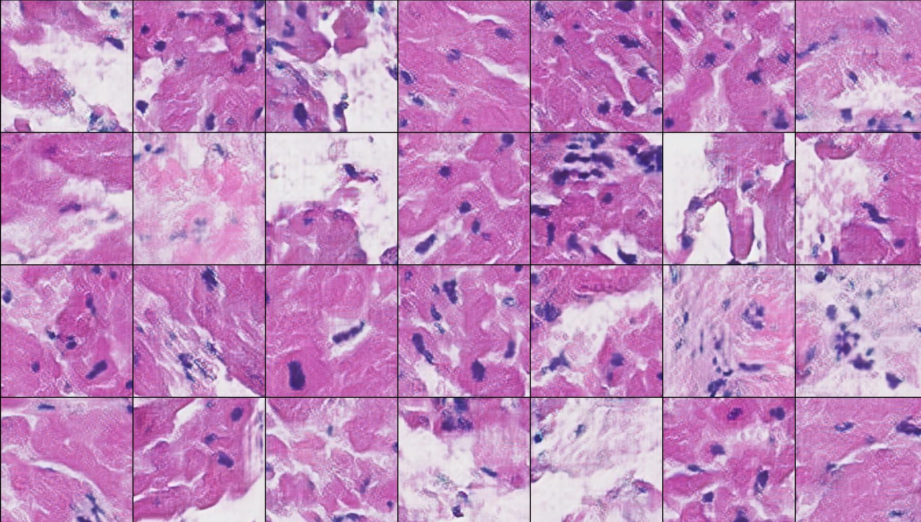
Generative Adversarial Networks for Data Augmentation of Heart Transplant Rejection Images for Improving Classifier PerformancePaper
Computational Photodetectors for Activity Recognition in Ultra-Low Power Format. 2021.
Paper